Parodontologie

Ein gesundes Zahnfleisch und feste Zähne sind die Grundlage für Ihre Mundgesundheit. Die Parodontologie beschäftigt sich mit der Vorbeugung, der Behandlung und der Nachsorge von Zahnbetterkrankungen.

Die Parodontitis ist mittlerweile eine Volkskrankheit. So leiden über die Hälfte der 35- bis 44-Jährigen und 80% der 65-74-Jährigen an einer mittelschweren bzw. schweren Parodontalerkrankung [DMS IV 2005, Quelle IDZ: Januar 2013]. Nach dem 40. Lebensjahr ist die Parodontitis die häufigste Ursache für den Zahnverlust [Quelle: IDZ].

Bei Vorliegen einer Parodontalerkrankung ist das Risiko zur Entstehung eines Diabetes mellitus und von Gefäßerkrankungen wie Herzinfarkt und Schlaganfall signifikant erhöht. Durch die systematische Behandlung der Parodontitis und die regelmäßige Teilnahme an der Nachsorge (UPT) wurde das Risiko eines Herzinfarktes um 24% und das Risiko eines Schlaganfalls um 13% gesenkt  (DIE WELT, “Der Infarkt beginnt im Mund“).

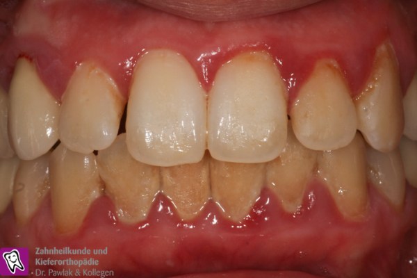
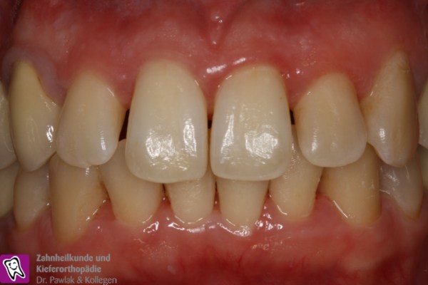
Frontzahnbereich vor Parodontitis-Behandlung mit entzündetem Zahnfleisch. Frontzahnbereich nach Parodontitis-Behandlung mit gesundem Zahnfleisch.