Kieferorthopädie

Kinder & Jugendliche

Eine kieferorthopädische Behandlung der Zähne ist in jedem Alter möglich. Allerdings hängt der Behandlungsbeginn bei Kindern und Jugendlichen von der Art der Fehlstellung der Zähne ab.

Manche Fehlstellungen der Zähne sollten bei Kindern schon sehr früh (ab dem 4. Lebensjahr) mit einer Frühbehandlung, welche in der Regel 1 1/2 Jahre dauert, therapiert werden.

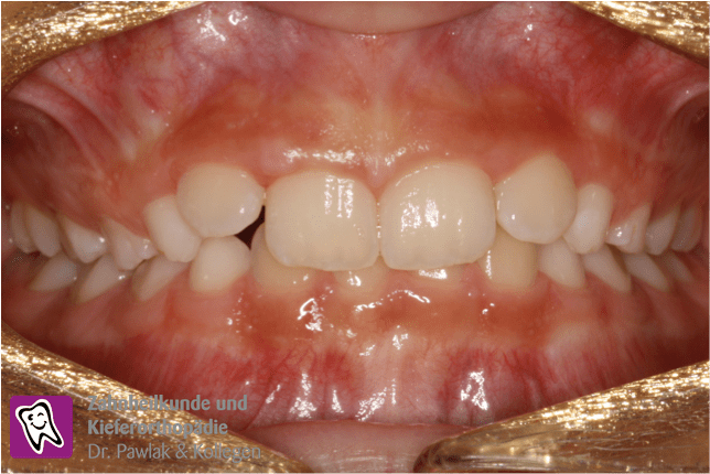
Beispiel einer Frühbehandlung bei einem frontalen Kreuzbiss (Behandlungsdauer 12 Monate, mit loser Spange (OK-Platte))

Oberkiefer vor der Frühbehandlung bei einem frontalen Kreuzbiss Oberkiefer nach der Frühbehandlung bei einem frontalen Kreuzbiss
Oberkiefer vor der Frühbehandlung bei einem frontalen Kreuzbiss Oberkiefer nach der Frühbehandlung bei einem frontalen Kreuzbiss

Viele Fehlstellungen werden aber erst später, meist ab dem 10. Lebensjahr korrigiert. Der Behandlungsbeginn hängt auch von der Zahnentwicklung der Kinder und Jugendlichen ab, ob es sich z. B. um einen „Frühzahner“ oder einen „Spätzahner“ handelt.

Im ersten Beratungsgespräch gehen wir auf Ihre Fragen und Wünsche ein. Nach einer Untersuchung der Zahn- und Kieferfehlstellung besprechen wir mit Ihnen, ob für eine Gesamtplanung Röntgenbilder, Fotos und Zahnabdrücke genommen werden müssen.

Sollten bereits Röntgenbilder, Kiefermodelle oder Fotos bei Ihrem Hauszahnarzt oder Vorbehandler vorliegen, bitten wir Sie, uns dies mitzuteilen. Ist bei Ihnen oder Ihrem Kind eine kieferorthopädische Behandlung notwendig, erstellen wir einen Behandlungsplan / Kostenplan für Ihre Krankenkasse zur Genehmigung.

Die gesetzlichen Krankenkassen zahlen die Behandlungskosten, wenn die Zahn bzw. Kieferfehlstellungen nach der Einordnung in das Kieferorthopädische Indikationssystem (KIG) mindestens den Schweregrad 3 haben. Es werden während der Behandlung zunächst 80% der Kosten übernommen und der Patient hat einen Eigenanteil von 20%, dieser Eigenanteil wird nach erfolgreichem Abschluss der Behandlung von ihrer Krankenkasse an Sie zurück gezahlt.

Wir haben eine kleine aber sehr individuelle kieferorthopädische Praxis mit kurzen Behandlungszeiten.
Die Behandlung wird der Kieferorthopädin bzw. Fachzahnärztin für Kieferorthopädie Dr. Christiane Neuhaus-Pawlak durchgeführt.

Für den „Rundumschutz“ der Zähne sind unsere Prophylaxeassistentinnen und auf Wunsch und in Absprache mit ihrem Hauszahnarzt die Zahnärzte in unserer Praxis für kurze Wege da.

Durch die enge Zusammenarbeit mit unseren Zahnärzten ist insbesondere bei Fragen für zukünftige Weiterbehandlungen wie Zahnumformungen, Lückenschluss oder notwendige Implantate eine optimale Therapieplanung gegeben.