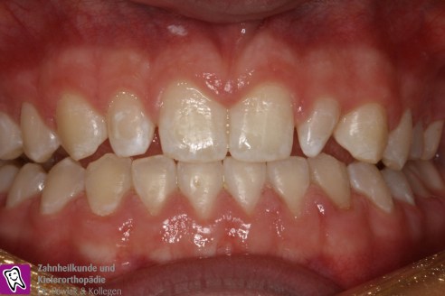
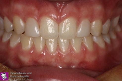
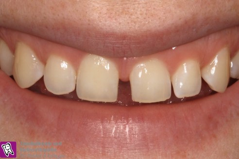
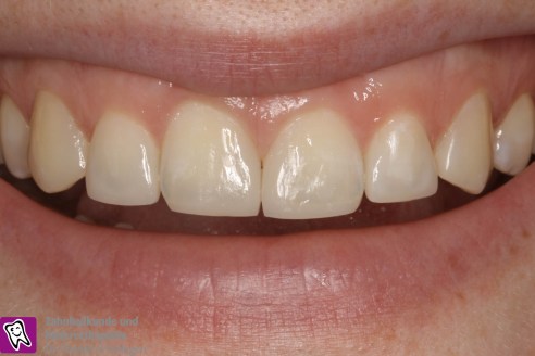
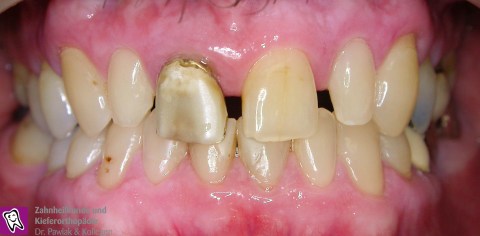
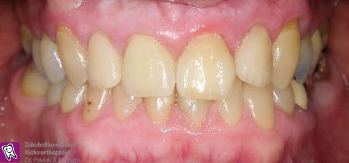
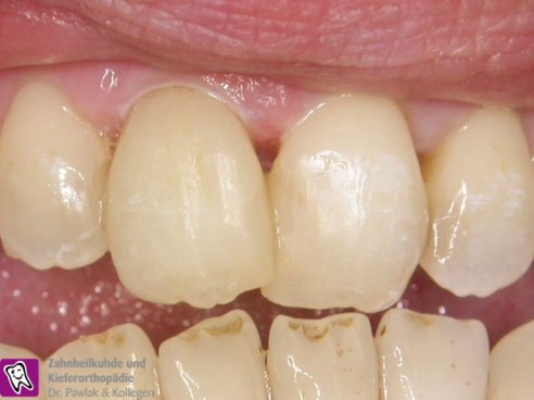
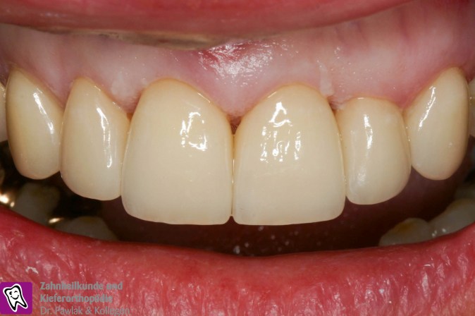
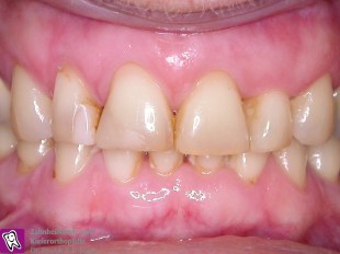
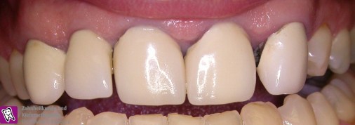
Eine ästhetische Zahnbehandlung kann die Lebensqualität unter Umständen erheblich steigern. Viele Patienten berichten davon, dass sie nach der Behandlung wieder unbeschwert Lachen können und sich nicht mehr über unvorteilhafte Fotos ärgern. Oft hören wir Sätze wie: „Wenn ich das früher gewußt hätte…“
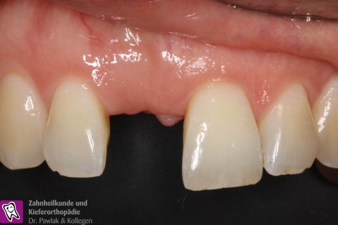
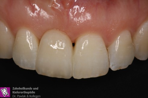
Für die Wiederherstellung eines natürlich wirkenden Lächelns ist eine sorgfältige Planung der Behandlung eine wichtige Vorraussetzung. Nach einer gründlichen Befundung und Dokumentation (Röntgenbilder, Fotos, Gips-Modelle) geht es im Beratungsgespräch zunächst darum, die Wünsche unserer Patienten kennen zu lernen, und dann die verschiedenen Behandlungsmöglichkeiten durchzusprechen. Darauf hin erfolgt eine Behandlungsplanung, die in der Regel unter Zuhilfenahme unserer Zahntechnikmeister erfolgt. Auf Wunsch erstellen wir vor der Behandlung eine digitale Vorschau des Behandlungsergebisses (Fotomontage), ein Wax-up (Wachsmodellation am Gipsmodell) oder ein Mock-up (Kunststoff-Provisorium) her.














